Sức khỏe
Sau loạt bê bối sữa giả, người tiêu dùng đòi hỏi cao hơn về chất lượng sữa
Sau khi những sản phẩm sữa giả bị phát hiện, nhiều đường dây bị khởi tố, không ít người tiêu dùng mất niềm tin về sản phẩm này. Người tiêu dùng đang đòi hỏi cao hơn về chất lượng, đảm bảo an toàn thực phẩm.
Phẫu thuật lấy khối u buồng trứng nặng khoảng 2kg ở người phụ nữ 33 tuổi
Ngày 8-4, Bệnh viện Việt - Hàn Đà Nẵng (xã Núi Thành, TP Đà Nẵng) thông tin vừa phẫu thuật thành công khối u nang buồng trứng kích thước lớn cho một phụ nữ 33 tuổi.
Xúc động câu chuyện cô gái người Anh nối dài nhiều sự sống
Bệnh viện Hữu nghị Việt Đức cho biết vừa thực hiện một ca hiến tạng đặc biệt từ bệnh nhân O.S.W. (19 tuổi, quốc tịch Anh). Nữ du khách gặp biến cố trong thời gian du lịch tại Việt Nam và không qua khỏi dù được các y bác sĩ tích cực cứu chữa.
Quy định xử phạt vi phạm hành chính về kinh doanh và sử dụng sản phẩm dinh dưỡng dùng cho trẻ nhỏ
(Chinhphu.vn) - Chính phủ ban hành Nghị định số 90/2026/NĐ-CP ngày 30/3/2026 quy định xử phạt vi phạm hành chính trong lĩnh vực y tế. Trong đó, đáng chú ý là các vi phạm về kinh doanh và sử dụng sản phẩm dinh dưỡng dùng cho trẻ nhỏ.
Những điều bạn nên và không nên làm mỗi buổi sáng để duy trì năng lượng trong ngày
Việc duy trì những thói quen lành mạnh vào buổi sáng có thể giúp bạn duy trì năng lượng, sức khỏe và sự tỉnh táo trong ngày.
Nhanh chóng khoanh vùng, dập tắt ổ dịch sốt xuất huyết đầu tiên tại Hà Tĩnh
Sau khi có thông tin về trường hợp mắc sốt xuất huyết đầu tiên trong năm 2026, các lực lượng chức năng tỉnh Hà Tĩnh đã lập tức triển khai các biện pháp phòng, chống dịch nhằm không để lây lan ra diện rộng.
Loại cá được Mỹ đánh tốt ngang cá hồi, hóa ra ở Việt Nam mâm cơm nhà nào cũng có
Đây là loại cá được ưa chuộng bậc nhất trên thế giới, thịt thơm ngon sánh ngang thịt gà và giá trị dinh dưỡng vượt qua cá hồi. Không chỉ vậy loại cá này được mệnh danh là "gà nước" nhờ thịt trắng thơm ngon, dễ chế biến và giàu giá trị dinh dưỡng.
Câu chuyện cô gái người Anh hiến tạng tại Việt Nam: Tri ân nghĩa cử cao đẹp ‘không biên giới’
Sáng 8-4, tại Hà Nội, Bệnh viện Hữu nghị Việt Đức đã tổ chức lễ tri ân gia đình cô gái người Anh hiến tạng cứu người, khép lại một câu chuyện buồn bằng một thông điệp nhân văn sâu sắc về sự sống và nghĩa cử cao đẹp vượt qua mọi biên giới.
Ngứa kéo dài có thể là dấu hiệu cảnh báo sớm suy thận
Nhiều người bị ngứa đến mất ngủ, gãi đến trầy xước da nhưng vẫn chỉ nghĩ là dị ứng thông thường, tự mua thuốc uống hoặc đổi xà phòng. Tuy nhiên, đây có thể là biểu hiện của tình trạng suy thận.
Sản phụ 56 tuổi mang song thai “vượt cạn”, hai bé chào đời cách nhau một phút
Một sản phụ 56 tuổi ở Hà Nội đã vượt qua hành trình thai kỳ nhiều nguy cơ để chào đón hai em bé khỏe mạnh tại Bệnh viện Phụ Sản Hà Nội.
Làm rõ cơ chế bồi thường trong tiêm chủng: Minh bạch trách nhiệm, bảo đảm quyền lợi người dân
(Chinhphu.vn) - Dự thảo Nghị định quy định chi tiết, hướng dẫn thi hành Luật Phòng bệnh do Bộ Y tế chủ trì, đang thu hút sự quan tâm của dư luận, đặc biệt liên quan đến cơ chế bồi thường khi xảy ra tai biến sau tiêm chủng.
70% bệnh nhân ung thư phổi phát hiện muộn: Làm gì để phát hiện sớm?
Hơn 70% bệnh nhân ung thư phổi tại Việt Nam được phát hiện khi bệnh đã ở giai đoạn muộn, khiến việc điều trị khó khăn, chi phí tăng cao. Trong khi đó nếu được phát hiện sớm, tỉ lệ sống trên 5 năm có thể lên tới 92%.
Phụ nữ trên 50 tuổi chăm làm 5 điều này mỗi sáng, hiệu quả bất ngờ đến khó tin
Để duy trì sức khỏe và sự năng động sau tuổi 50, việc xây dựng lối sống lành mạnh với chế độ ăn uống cân bằng, vận động đều đặn và quản lý căng thẳng đóng vai trò quan trọng.
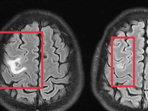
‘Thủ phạm thầm lặng’ làm tăng gấp 5 lần nguy cơ đột quỵ
Một trong những biến chứng nguy hiểm nhất của rung nhĩ là đột quỵ. Đây là một dạng rối loạn nhịp tim nguy hiểm, thường diễn tiến âm thầm, không triệu chứng rõ rệt, dễ bị bỏ sót.