
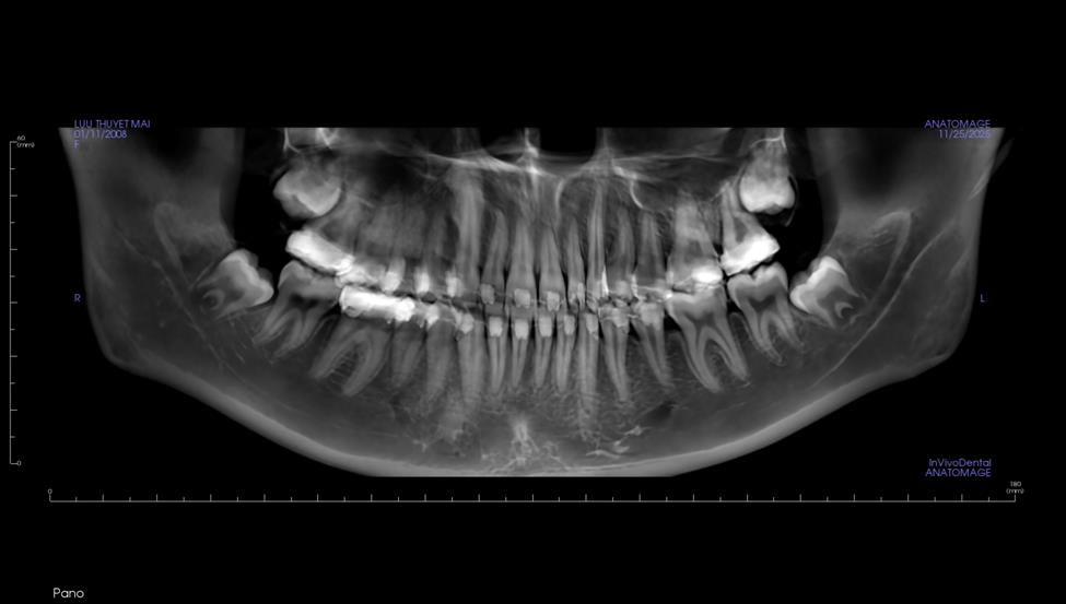
Trên phim X-quang, người bệnh có 4 răng khôn mọc lệch cần nhổ - Ảnh: BSCC
Vì khi mọc răng này, xương hàm đã ổn định, phần lớn trường hợp không còn đủ chỗ cho răng khôn phát triển bình thường. Hậu quả là răng có thể mọc lệch, ngầm gây viêm lợi, sâu răng kế cận, tiêu xương, hoặc đau kéo dài vùng góc hàm.
Theo thống kê của Hiệp hội Phẫu thuật hàm mặt Hoa Kỳ, hơn 70% người trưởng thành phải nhổ ít nhất một răng khôn. Đây là thủ thuật phổ biến, nhưng nếu không chăm sóc đúng, người bệnh có thể gặp các biến chứng như sưng, đau, chảy máu, nhiễm trùng huyệt ổ răng sau nhổ. Vậy làm sao để nhổ răng khôn an toàn và hồi phục nhanh?
24 giờ đầu tiên - giai đoạn "vàng" quyết định lành thương
Ngay sau khi nhổ răng, cơ thể hình thành cục máu đông trong ổ răng. Đây chính là "lá chắn tự nhiên" bảo vệ xương và dây thần kinh bên dưới, giúp khởi đầu quá trình liền thương. Nếu cục máu đông bị bật ra do súc miệng mạnh, khạc nhổ, hút thuốc hay uống nóng, bệnh nhân có thể bị viêm huyệt ổ răng khô - một biến chứng khiến đau dữ dội và chậm lành thương.
Hướng dẫn chăm sóc sau nhổ răng:
- Cắn chặt gạc 30-45 phút, không thay gạc liên tục.
- Không súc miệng liên tục, không hút thuốc, không uống rượu, không khạc nhổ. Khi sử dụng nước súc miệng kháng khuẩn thì ngậm và nhổ nhẹ nhàng.
- Không dùng lưỡi chạm vào vùng huyệt ổ răng để xem thử có đau hay không.
- Chườm lạnh vùng má 15 phút/lần trong 3–4 giờ đầu để giảm sưng.
- Uống thuốc đúng hướng dẫn của bác sĩ, không tự ý tăng giảm liều.
- Nghỉ ngơi, tránh cúi gập người, không vận động mạnh.
"Nhiều người nghĩ nhổ răng chỉ là tiểu phẫu đơn giản, nhưng thật ra 24 giờ đầu tiên chính là thời điểm quyết định ổ răng có lành tốt hay không".
Từ ngày thứ 2 đến ngày thứ 7 - Cẩn trọng và kiên nhẫn
Sau 48 giờ, mô mềm bắt đầu tái tạo và sưng giảm dần. Tuy nhiên người bệnh vẫn cần chăm sóc đúng cách để hỗ trợ cơ thể hồi phục.
Những điều nên làm:
- Sau 2 ngày, có thể súc miệng nhẹ bằng nước muối loãng.
- Ăn mềm, nguội, ưu tiên thức ăn dễ nhai như cháo, xúp, trứng, sữa chua.
- Vệ sinh răng miệng nhẹ nhàng, tránh chạm ổ răng.
- Uống đủ nước, tránh cà phê, nước có gas, thức ăn cay nóng.
Khi nào cần tái khám sớm?
- Sưng không giảm hoặc tăng sau ngày thứ 3.
- Đau lan lên tai, hôi miệng, chảy máu nhiều, sốt.
- Cảm giác tê hoặc đau kéo dài bất thường.
"Nếu sau ba ngày mà cơn đau không giảm mà lại tăng, đó là tín hiệu bạn nên quay lại gặp bác sĩ ngay".
Sau 1-2 tuần - Ổ răng dần ổn định nhưng đừng chủ quan: Khoảng 7-10 ngày sau nhổ răng, mô mềm đã phủ kín ổ răng. Tuy nhiên bên trong xương ổ răng vẫn đang tái tạo trong suốt 6-8 tuần tiếp theo. Vì vậy dù không còn đau, người bệnh không nên bỏ tái khám hoặc ăn uống quá sớm đồ cứng, dai.
Khi phẫu thuật, các công nghệ hỗ trợ như laser công suất thấp hoặc màng PRF (huyết tương giàu tiểu cầu) có thể giúp đẩy nhanh quá trình lành thương, giảm sưng đau.
Các biến chứng thường gặp và cách nhận biết
1. Viêm huyệt ổ răng khô: Đau nhói, hôi miệng, cảm giác xương trơ. Cần tái khám để rửa ổ răng, băng thuốc giảm viêm, giảm đau.
2. Nhiễm trùng huyệt ổ răng: Sưng đỏ, đau lan, sốt nhẹ, có mủ. Cần dùng kháng sinh theo hướng dẫn.
3. Tổn thương dây thần kinh: Người bệnh có dấu hiệu tê môi, cằm hoặc lưỡi. Thường gặp ở răng khôn hàm dưới có chân răng sát ống dây thần kinh răng dưới hoặc chui vào trong ống răng dưới. Trường hợp này cần theo dõi và điều trị hỗ trợ bằng vitamin 3B, laser và các biện pháp khác.
Phần lớn biến chứng đều đến từ việc người bệnh chủ quan hoặc vệ sinh sai cách. Do vậy hãy coi hướng dẫn của bác sĩ là ‘toa thuốc’ cho việc chăm sóc hậu phẫu.
Lưu ý cho các nhóm bệnh nhân đặc biệt
Những người bệnh có bệnh nền như: Đái tháo đường, tim mạch, cao huyết áp… cần kiểm soát bệnh ổn định trước khi nhổ. Sau phẫu thuật, nên theo dõi đường huyết và không tự ngừng thuốc điều trị nền.
Phụ nữ mang thai: Không nên nhổ răng trong 3 tháng đầu và 3 tháng cuối thai kỳ. Thời điểm an toàn nhất là ba tháng giữa. Khi cần dùng thuốc, phải được bác sĩ chỉ định cụ thể.
Người cao tuổi: Quá trình lành thương chậm hơn do mạch máu kém. Nên bổ sung vitamin C, ăn đủ đạm và tái khám theo hẹn.
Năm sai lầm phổ biến sau nhổ răng khôn
1. Súc miệng nước muối đặc: Gây xót, tan cục máu đông.
2. Uống nước nóng hoặc ăn cháo nóng: Làm tan cục máu đông, chảy máu trở lại.
3. Ngưng thuốc sớm: Khiến viêm tái phát.
4. Tự ý đắp lá, bôi thuốc dân gian: Dễ nhiễm trùng nặng.
5. Không tái khám theo hẹn: Không phát hiện kịp thời các biến chứng nên nếu có biến chứng, vấn đề trở nên trầm trọng.
Một ca nhổ răng khôn thành công không chỉ nhờ tay nghề bác sĩ, mà còn ở sự hợp tác và hiểu biết của người bệnh. Do vậy người bệnh cần tuân thủ theo các hướng dẫn của bác sĩ.
Phòng ngừa biến chứng từ trước khi nhổ
Để dự phòng các biến chứng sau nhổ răng, cần chú ý và thực hiện một số nội dung sau: (1) Khám và chụp phim 3D Cone Beam CT để xác định vị trí răng, dây thần kinh từ đó tiên lượng cách phẫu thuật cũng như dự phòng các biến chứng. (2) Vệ sinh răng miệng kỹ lưỡng trước phẫu thuật để giảm vi khuẩn. (3) Báo với bác sĩ về tiền sử bệnh và thuốc đang dùng. (4) Giữ tinh thần thoải mái, ngủ đủ giấc, ăn nhẹ trước khi nhổ.
Nhờ sự chuẩn bị đúng cách, việc nhổ răng khôn ngày nay diễn ra nhanh, an toàn, và người bệnh thường hồi phục tốt chỉ sau vài ngày.
Chúng ta cần hiểu đúng để không sợ nhổ răng khôn. Nhổ răng khôn không đáng sợ như nhiều người nghĩ, mặc dù tất cả can thiệp phẫu thuật đều có tìm ẩn các sự cố ngoài ý muốn.
Để tránh các biến chứng xảy ra sau nhổ răng, vấn đề không nằm ở việc "răng khó hay dễ nhổ", mà ở sự hiểu biết và hợp tác của người bệnh. Một thái độ chủ động, tuân thủ hướng dẫn và theo dõi tái khám đúng hẹn sẽ giúp quá trình hồi phục nhanh, nhẹ nhàng và an toàn. Sự hiểu biết chính là liều thuốc tốt nhất giúp bạn tránh biến chứng sau nhổ răng khôn.