Sức khỏe
Bộ trưởng Đào Hồng Lan: Dự kiến đánh giá năng lực hành nghề với bác sĩ từ 2027
Liên quan quy định Hội đồng y khoa quốc gia trong dự thảo Luật khám bệnh, chữa bệnh sửa đổi, Bộ trưởng Bộ Y tế Đào Hồng Lan cho hay dự kiến sẽ áp dụng quy định đánh giá năng lực hành nghề với bác sĩ từ ngày 1-1-2027.
Đạt chứng nhận JCI, Bệnh viện Quốc tế Mỹ (AIH) cam kết chất lượng dịch vụ chuẩn Mỹ
Bệnh viện Quốc tế Mỹ (AIH) là bệnh viện quốc tế hàng đầu tại Việt Nam áp dụng cả tiêu chuẩn JCI và các tiêu chuẩn Mỹ trong thiết kế và xây dựng, khám và điều trị, quản lý và vận hành.
Thế nào là bữa ăn lành mạnh, đủ dinh dưỡng và phòng bệnh tật bao gồm ung thư?
Hiện nay tỉ lệ người mắc ung thư đang gia tăng. Có nhiều nguyên nhân dẫn đến tình trạng này, trong đó có việc ăn uống không khoa học, ông có thể cho lời khuyên về việc ăn uống để đẩy lùi bệnh, trong đó có ung thư?
Những mái ấm cho trẻ em có hoàn cảnh đặc biệt
Toàn tỉnh Quảng Bình hiện có 3 cơ sở trợ giúp xã hội, trong đó có 1 cơ sở trợ giúp xã hội công lập và 2 cơ sở trợ giúp xã hội ngoài công lập đang nuôi dưỡng, chăm sóc tập trung cho hàng trăm trẻ em bị bỏ rơi, trẻ em vô thừa nhận, trẻ em khuyết tật đặc biệt nặng không có người nuôi dưỡng.
Cắt xương sườn, ‘tái sinh’ cột sống cho bệnh nhân gù lưng hơn 100 độ
Bệnh viện Trung ương Quân đội 108 vừa điều trị thành công cho một bệnh nhân gù lưng nặng, góc vẹo rất lớn. Các bác sĩ đã cắt xương sườn, vén phổi nắn chỉnh chữa gù vẹo cột sống, giúp bệnh nhân có thể "nhìn thẳng" sau nhiều năm.
Đắk Nông chốt thời hạn tìm nhân sự cho hai 'ghế nóng' nhất ngành y
TPO - Mới đây, một Phó Giám đốc Sở Y tế, phụ trách Bệnh viện Đa khoa tỉnh Đắk Nông bất ngờ xin thôi việc. Tỉnh Đắk Nông đang cố gắng tìm nhân sự chủ chốt cho 2 vị trí quan trọng của ngành y gồm Sở Y tế và Bệnh viện Đa khoa tỉnh chưa có giám đốc trong thời gian dài.
Nên ăn gì để đủ chất dinh dưỡng trong ngày đông lạnh giá?
Những ngày gần đây, miền Bắc đã đón khá nhiều đợt gió mùa đông bắc khiến nhiệt độ giảm sâu. Vậy nên ăn gì để đủ chất dinh dưỡng và tăng sức đề kháng?
Nghĩ quẩn nam thanh niên uống thuốc diệt cỏ tự tử
Đau xót con trai uống thuốc cỏ tự tử, người cha làm thợ hồ đi vay mượn được hơn 14 triệu đồng trong khi viện phí dự kiến lên đến khoảng 200 triệu đồng.
Cách phòng tránh ngộ độc thực phẩm dịp Tết
(Chinhphu.vn) - Ngộ độc thực phẩm rất dễ xảy ra, nhất là vào những dịp lễ, Tết quan trọng. Do đó, việc thực hiện các biện pháp phòng tránh ngộ độc thực phẩm là vô cùng cần thiết.
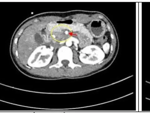
Phương pháp điều trị đem lại hy vọng cho bệnh ung thư đầu tụy giai đoạn tiến triển
(Chinhphu.vn) - Việc áp dụng phối hợp đa mô thức kết hợp điều trị hóa chất tiền phẫu với các kỹ thuật mổ khó và chuyên sâu, các bác sĩ của BV Bạch Mai đã điều trị thành công cho những trường hợp ung thư tụy giai đoạn tiến triển, mang lại hy vọng sống cho người bệnh.
Chuyên gia chỉ ra sai lầm khi uống nước chanh vào buổi sáng
Uống nước chanh vào buổi sáng rất tốt cho cơ thể, tuy nhiên không phải ai cũng uống nước chanh đúng cách.
17 ngày đưa cậu bé 10 tuổi thoát khỏi “cửa tử”
Các y bác sỹ Bệnh viện Trung ương Huế đã có hành trình 17 ngày điều trị, đưa bệnh nhi 10 tuổi bị viêm phổi rất nặng thoát “cửa tử”.
Bãi bỏ quy định phải tham khảo giá trang thiết bị y tế trúng thầu trong vòng 12 tháng
(Chinhphu.vn) – Thứ trưởng Bộ Y tế Đỗ Xuân Tuyên vừa ký ban hành Thông tư số 14/2022/TT-BYT về việc bãi bỏ một số văn bản quy phạm pháp luật, trong đó bãi bỏ Khoản 3 Điều 8 Thông tư số 14/2020/TT-BYT quy định một số nội dung trong đấu thầu trang thiết bị y tế tại các cơ sở y tế công lập.
Bộ Y tế đình chỉ lưu hành, thu hồi toàn quốc ba loại mỹ phẩm nhập khẩu từ Pháp
Cục Quản lý dược (Bộ Y tế) vừa có công văn thu hồi ba loại mỹ phẩm được sản xuất tại Pháp do hai công ty chịu trách nhiệm đưa ra thị trường không trung thực về tài liệu giấy ủy quyền trong hồ sơ công bố sản phẩm.