Sức khỏe
Sáp nhập Bệnh viện Đa khoa Sài Gòn vào Bệnh viện Nhân dân Gia Định, người có thẻ BHYT khám ở đâu?
Sau khi Bệnh viện Đa khoa Sài Gòn sáp nhập vào Bệnh viện Nhân dân Gia Định, nhiều người dân thắc mắc: việc khám chữa bệnh BHYT tại hai cơ sở sẽ được thực hiện ra sao từ ngày 1-1-2026?
Đưa trạm y tế thành 'điểm chạm y tế đầu tiên'
Từ hôm nay 1-1, 38 trung tâm y tế khu vực tại TP.HCM (bao gồm 168 trạm y tế) trực thuộc Sở Y tế TP.HCM chính thức sáp nhập vào 168 trạm y tế phường, xã, đặc khu trực thuộc ủy ban nhân dân cấp xã.
Phòng bệnh tan máu bẩm sinh: Giải pháp nâng chất lượng dân số
(Chinhphu.vn) - Thalassemia là bệnh chưa thể khỏi hoàn toàn, người bệnh phải điều trị suốt đời. Tuy nhiên, bệnh hoàn toàn có thể phòng tránh thông qua các biện pháp hạn chế tỷ lệ trẻ sinh ra bị bệnh và mang gen bệnh, từ đó góp phần nâng cao chất lượng dân số - đây là 1 trong 4 chính sách lớn của Luật Dân số vừa được Quốc hội thông qua.
Ngày cuối năm, thông tim bào thai thứ 12 thành công trong thời gian chưa đầy 30 phút
Vào ngày cuối năm 2025, Bệnh viện Từ Dũ (TP.HCM) thông báo vừa can thiệp thông tim bào thai thành công thêm 1 ca chỉ dưới 30 phút, nâng tổng số lên 12 ca. Đây cũng là ca đầu tiên sau khi hoàn thành thủ tục cấp phép của Bộ Y tế.
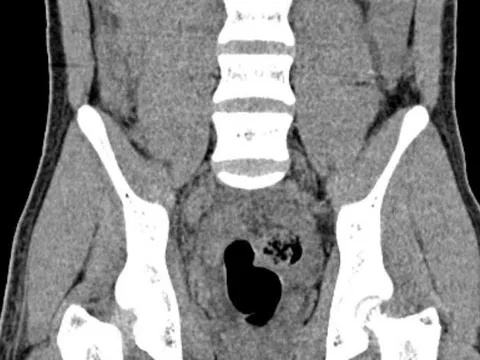
Người đàn ông 43 tuổi "bụng cứng như đá", bác sĩ phát hiện bí mật "đáng sợ"
Người bệnh 43 tuổi nhập viện trong tình trạng đau tức mạn sườn phải, đau lan ra sau lưng, tiểu buốt, tiểu rắt kéo dài. Bác sĩ phát hiện bí mật "đáng sợ" bên trong bụng.
Trung tâm y tế khu vực TP.HCM trước ngày sáp nhập: Tiếp tục sứ mệnh chăm sóc sức khỏe cộng đồng
Ngày 1-1-2026 là một dấu mốc quan trọng khi 38 trung tâm y tế khu vực thuộc Sở Y tế TP.HCM sẽ được sắp xếp, chuyển giao về 168 trạm y tế xã, phường, đặc khu trực thuộc UBND phường, xã, đặc khu.
Ca ghép gan xuyên Việt trong ngày cuối cùng của năm 2025
Rạng sáng 31-12, trong những giờ phút cuối cùng của năm 2025, các bác sĩ Bệnh viện Trung ương Quân đội 108 đã thực hiện thành công ca lấy và ghép gan xuyên Việt từ người hiến chết não, nối dài sự sống cho một bệnh nhân nữ mắc bệnh gan giai đoạn nặng.
Chủ quan, nhiều nam giới ung thư vú giai đoạn muộn
Ung thư vú không chỉ gặp ở phụ nữ mà nam giới cũng có nguy cơ mắc. Thực tế đã có nhiều nam giới phát hiện bệnh muộn vì chủ quan, ngại đi khám dù ở ngực xuất hiện khối u bất thường.
Người đàn ông ngừng tim đột ngột sau khi chơi pickleball
Khi đang chơi pickleball cùng nhóm bạn tại một sân thể thao, người đàn ông 50 tuổi bắt đầu có dấu hiệu đau ngực, khó thở. Nhận thấy tình trạng bất thường, ông được đưa đi cấp cứu và đột ngột ngừng tim ngay tại cổng bệnh viện.
Loại rau được đánh giá "tốt nhất thế giới", hoá ra là rau quen thuộc ở nước ta
Loại rau này mang lại nhiều lợi ích như giúp giảm nguy cơ mắc các bệnh mạn tính, tăng cường sức khỏe, kiểm soát huyết áp… Dưới đây là 5 cách chế biến rau tốt cho sức khỏe.
Danh sách 267 cơ sở đăng ký khám chữa bệnh bảo hiểm y tế ban đầu quý 1-2026 tại TP.HCM
Bảo hiểm xã hội TP.HCM vừa công bố danh sách 267 cơ sở khám chữa bệnh nhận đăng ký khám chữa bệnh bảo hiểm y tế ban đầu quý 1-2026, để người tham gia bảo hiểm y tế lựa chọn nơi khám chữa bệnh phù hợp, bảo đảm quyền lợi theo quy định.
Người bệnh không được cấp thuốc ngoại trú trên 30 ngày, Bộ Y tế nói gì?
(Chinhphu.vn) - Sau 6 tháng triển khai quy định về kê đơn thuốc hóa dược, sinh phẩm trong điều trị ngoại trú, người bệnh có phản ánh về việc không được cấp thuốc ngoại trú trên 30 ngày mặc dù tình trạng bệnh ổn định, được theo dõi điều trị trong thời gian dài.
Phó Thủ tướng Lê Thành Long: Cần triển khai hiệu quả các cơ chế, chính sách đặc biệt tạo đột phá cho ngành Y tế
(Chinhphu.vn) - Phó Thủ tướng Lê Thành Long đề nghị tổ chức triển khai hiệu quả các chủ trương, đường lối, chính sách của Đảng, Nhà nước về y tế, đặc biệt là Nghị quyết số 72 của Bộ Chính trị; Nghị quyết của Quốc hội về cơ chế đặc biệt, tạo đột phá cho ngành Y tế.
Cách ăn uống giúp người cao tuổi luôn khỏe mạnh
Người cao tuổi cần một chế độ dinh dưỡng đa dạng và hợp lý để tránh bệnh tật. Nhưng đôi khi số lượng thực phẩm ăn vào ít hoặc ít uống nước làm sức khỏe càng kém hơn. Vì vậy, những người trong gia đình cần chú ý quan tâm, chăm sóc người cao tuổi.